SYSTEM ALBERTINA
            
            INNOVATION MIT SCHWERPUNKT AUF ERGONOMIE, HYGIENE UND EFFIZIENZ        
    
    
    
    
    BELEUCHTUNG UND LAMPEN
            
            DIE RICHTIGE BELEUCHTUNG        
    
    
    
    
    ACCESIA UNIT G4
            
            MOBILE EINHEIT HOHER KAPAZITÄT FÜR FORTSCHRITTLICHE ZAHNBEHANDLUNGEN        
    
    
    
    
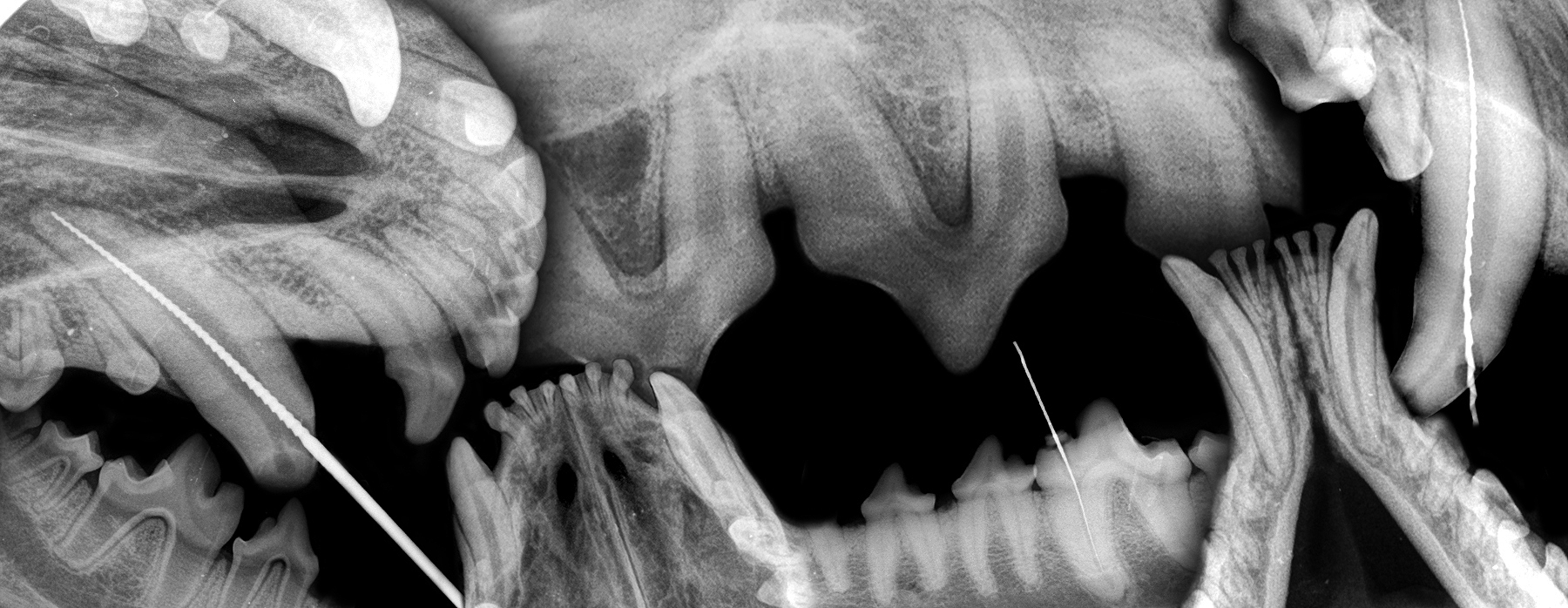
    ZAHNÄRZTLICHE BILDGEBUNG
            
            DIE ZAHNÄRZTLICHE RADIOLOGIE IST FÜR DIE ORDNUNGSGEMÄSSE PATIENTENVERSORGUNG VON ENTSCHEIDENDER BEDEUTUN        
    
    
    
    
    PRODENTA CLOUD
            
            EINHEITLICHE PATIENTENBERICHTE UND STANDARDISIERTE DIAGNOSEN IN KÜRZESTER ZEIT        
    
    
    
    
    



